Invisalign Before & After – See the Difference
Transforming Smiles at Great Northwest Dental in Auburn, WA
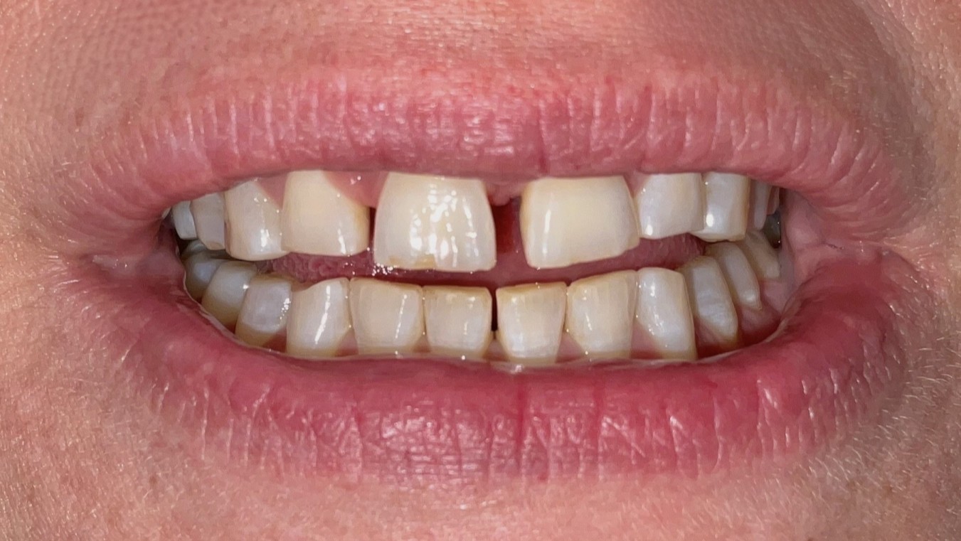
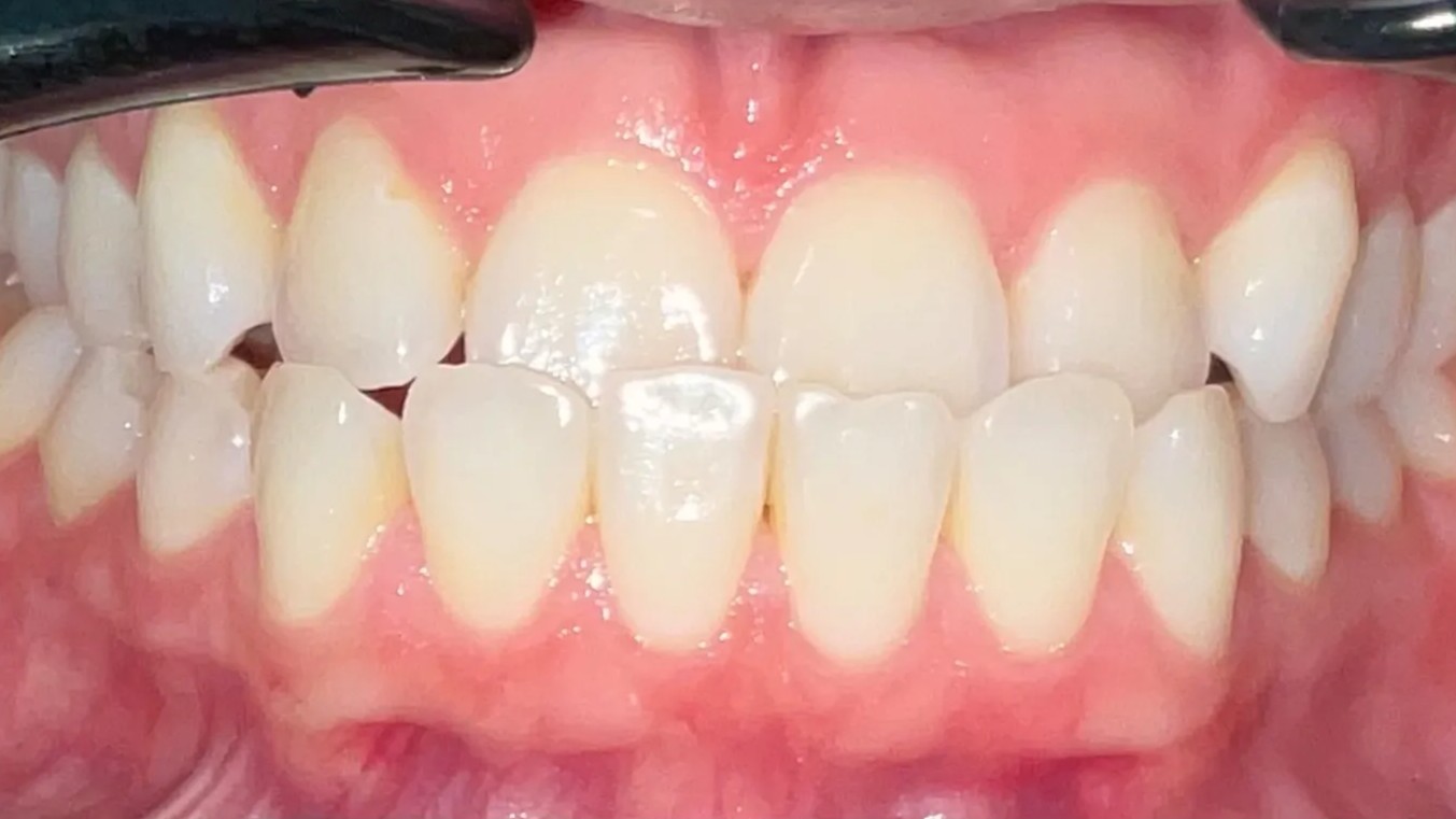
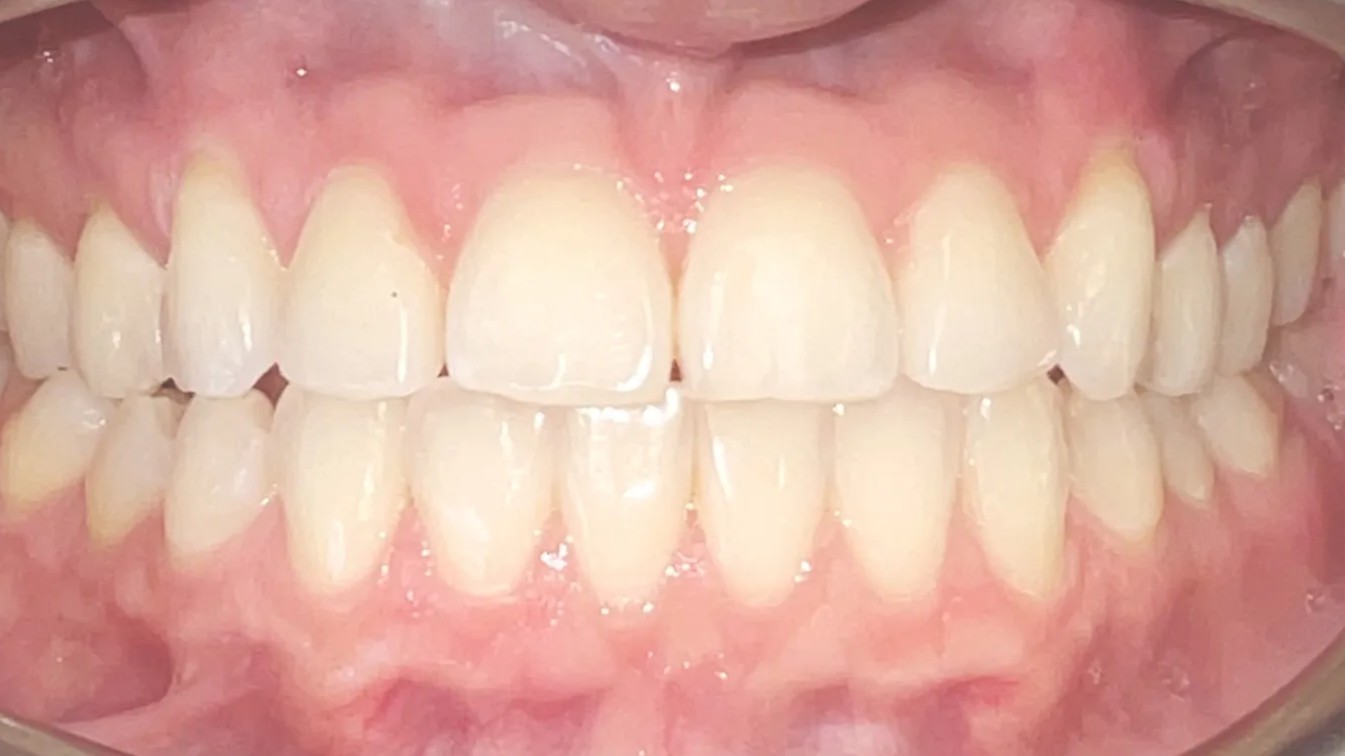
A straighter, healthier smile can make a big difference in confidence and oral health. Dr. Lindsey Papac at Great Northwest Dental has helped many patients achieve beautiful, natural-looking results with Invisalign clear aligners. Our before-and-after gallery showcases real patients who have corrected misaligned teeth, gaps, crowding, and bite issues—all without the hassle of traditional braces.






























See Your Own Before & After Transformation
If you are ready to improve your smile, learn if Invisalign is right for you. Schedule a free virtual consultation at Great Northwest Dental to discuss your options and see how clear aligners can help you achieve a straighter, healthier smile.

